ORTODONCIA EN SAN FERNANDO
La ortodoncia estudia, previene y corrige las alteraciones del desarrollo, las formas de las arcadas dentarias y la posición de los maxilares, con el fin de restablecer el equilibrio morfológico y funcional de la boca y de la cara, mejorando también la estética facial.

ORTODONCIA INVISIBLE
ORTODONCIA ADULTOS
ORTODONCIA JÓVENES
ORTODONCIA INFANTIL
La ortodoncia es una rama de la odontología que no solo está pensado para los niños, sino también para los adultos.
ORTODONCIA INVISIBLE
No hay nada más estético en el mundo de la ortodoncia que el tratamiento con ortodoncia plástica Invisalign. Es una alternativa a los brackets muy novedosa.
En tu visita a Clínica Dental Dr. Lobato realizaremos un estudio individual de tu boca para poder planificar con exactitud el número de alineadores plásticos que necesitas.
Este tipo de ortodoncia es menos invasiva y más estética, por lo que es la elegida por muchos de nuestros pacientes adultos para lucir una sonrisa bonita con seguridad.
Que nuestro paciente sonría es algo que nos importa. Gracias al esfuerzo diario de todo el equipo salen de la consulta con una sonrisa perfecta, sintiéndose más seguros y con una autoestima reforzada.
ORTODONCIA PARA ADULTOS
En muchas ocasiones aparecen apiñamientos terciarios en el adulto, es decir, se desalinean los dientes con el paso del tiempo. ¿Pero por qué puede pasar eso? El apiñamiento es resultado de varias fuerzas que inciden en nuestros dientes: la masticación, la deglución, la respiración, la fonación o ciertos hábitos que hace que unos dientes que estaban bien, es decir que estaban alineados, ya no lo estén.
Para eso esta la ortodoncia del adulto. Hoy en día existen multitud de técnicas ortodoncicas que corrigen esas alteraciones oclusales y mejoran la estética en el adulto. Nunca es tarde para tener una sonrisa bonita y vernos mejor. Una correcta alineación de los dientes es algo fundamental para nuestra salud oral, nos permite tener una mejor higiene oral repercutiendo directamente en nuestras encías. Es posible que un paciente adulto no quiera ser tratado con Brackets, para todos ellos recomendamos la ortodoncia Invisalign, es la ortodoncia más moderna hoy por hoy y efectiva al igual que otras técnicas.
Es más, seguro que te sorprende si te decimos que uno de cada tres pacientes que ha decidio mejorar su sonrisa es adulto. Esto se debe a que cada vez son más pacientes los que se deciden con el método Invisalign que te hemos comentado más arriba.
Entonces, ¿hasta cuándo puedo arreglarme la boca con ortodoncia?
La respuesta es sencilla, siempre que esté indicado. Es aconsejable en todas aquellas personas que tengan una maloclusión dental, sin importar su edad. En nuestra consulta tenemos pacientes adultos de más de 70 años que han decidido corregirse sus dientes con ortodoncia.
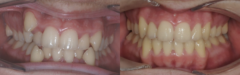
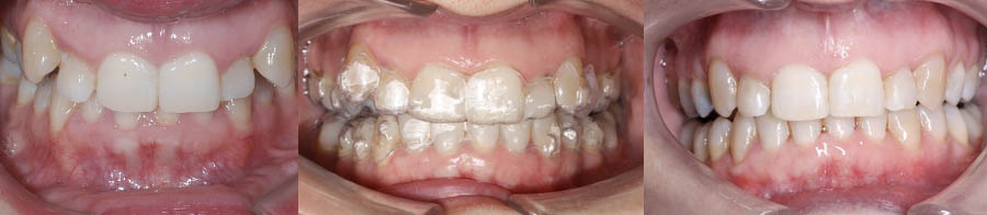
EJEMPLOS DE PACIENTES ADULTOS ANTES Y DESPUÉS DE LA ORTODONCIA
Antes y después de apiñamiento severo
Apiñamiento tratado con Invisaling
Ejemplo de Invisalign para tratar apiñamiento
Mordida abierta
ORTODONCIA PARA JÓVENES
EJEMPLOS DE PACIENTES JÓVENES ANTES Y DESPUÉS DE LA ORTODONCIA
Apiñamiento
Transposicón de caninos
Sobremordida
Uso de Invisalign para tratar apiñamiento dental
ORTODONCIA INFANTIL
La ortodoncia infantil es un tratamiento necesario en muchos casos que se trata en niños de a partir de 4 años de edad. Detectar posibles problemas en el desarrollo craneofacial en estas edades es muy importante para poder ayudar a corregir con soluciones más sencillas. Tenemos comprobado que en niños con maloclusiones severas que no han sido tratados pronto dificulta el tratamiento. Por ello, un tratamiento temprano en muchas ocasiones evita una cirugía ortognática cuando el paciente es adulto.
Hay diferentes formas de tratar las maloclusiones y existen multitud de aparatologías como Quad Helix, Máscaras faciales, etc.
Lo importante en el paciente infantil es que muerda de una forma correcta para que se vaya desarrollando adecuadamente.
Situaciones más comunes a tratar en el paciente infantil
Mordida cruzada anterior
Cuando los dientes de la mandíbula muerden por delante de los dientes del maxilar superior
Mordida cruzada posterior
Cuando las muelas de la mandíbula muerden por delante de las muelas del maxilar superior haciendo que cada vez el paciente vaya torciendo mas la mandíbula
Falta de estimulación mandibular
Se queda la mandíbula muy atrasada con respecto al maxilar superior
Dientes anteriores impactados en el hueso maxilar
o
Hueso mandíbula que necesitan de ayuda para que erupcionen
Aparatos que sirven para corregir estas maloclusiones
Twin-block
Quad-Helix
Braquets estéticos
Braquets metálicos
Invisaling
Placa de Hawley
Disyuntor del maxilar superior
